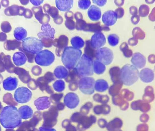
(2014)犬猫白血病检测组合 淋巴细胞性白血病是最常见的白血病类型。髓细胞性白血病较少见,不仅表现为单核细胞和粒细胞的肿瘤性增生,还可见到红细胞系早期原始细胞和巨核细胞(血小板的早期原始细胞)的增生。 肿瘤诊断 2023年01月17日 19 浏览
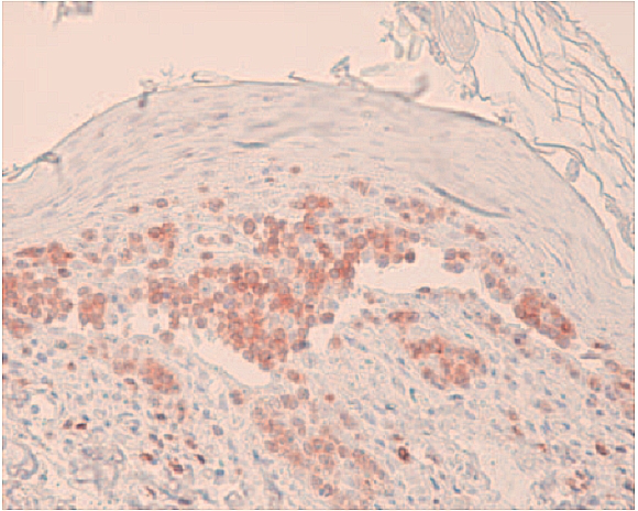
(2009)利用免疫组织学检测优化肿瘤诊断 免疫组织学(=免疫组织化学,IHC)可用于确定石蜡包埋、福尔马林固定的组织样本中的特定表位(抗原),可应用于组织学无法确诊的肿瘤病例,或是提供更特异性的细节(例如,恶性程度);可用于检测特定的感染原。 肿瘤诊断 2023年01月17日 15 浏览