Toggle navigation
首页
临床资讯
肿瘤诊断
过敏与免疫学
传染病与寄生虫学
内分泌疾病
基因检测
异宠
检测项目
国内检测项目
组织病理学与细胞学
微生物学与寄生虫学
过敏原检测与脱敏治疗
传染病:病原体和抗体检测
基因学
专业资料库
培训课程
德国兽医在线研讨课
年度技术培训
关于我们
企业介绍
实验室认证
专家团队
❤我的实验室
组织病理学与细胞学
首页
检测项目
组织病理学与细胞学
列表
默认
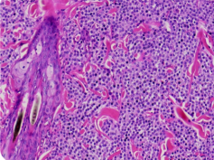
201 组织病理学(单个临床问题)(德国判读)
39
0
查看详情
2209 多器官/复杂疾病综合病理诊断(德国判读)
27
0
查看详情
201SS 组织特殊染色(德国判读)
21
0
查看详情
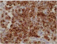
209 免疫组织化学染色
23
0
查看详情
8418 淋巴细胞克隆品系鉴别(PARR)
22
0
查看详情
8675 BRAF-基因突变(犬尿道移行细胞癌)
24
0
查看详情
205 胸腔积液 、腹腔积液分析
17
0
查看详情
206 脑脊液分析
17
0
查看详情
207 关节滑液分析
18
0
查看详情
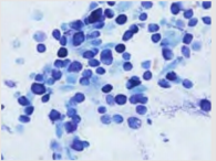
244 骨髓穿刺细胞学+全血细胞计数(院内提供)
23
0
查看详情